THE PROOF IS IN THE RESULTS
The Spark Clear Aligner System has created impressive finishes treating a variety of malocclusions.

Before & After Spark Clear Aligners
Spark Clear Aligners have resulted in impressive outcomes in treatments for a variety of malocclusions. Treatable cases may include overbites, spacing issues, crossbites, crowding, and more!* Visit our Treatable Cases page to see if Spark Aligners are right for you.
See for yourself what’s possible by exploring the cases of real Spark patients below. Use the slider bar on each photo to see the dramatic difference before and after using clear aligners. Not only do Spark Aligners demonstrate impressive results, but they’re also more clear, more comfortable, and more effective*. For more inspiring patient experiences and to see why patients would recommend Spark to a friend*, read the testimonials.
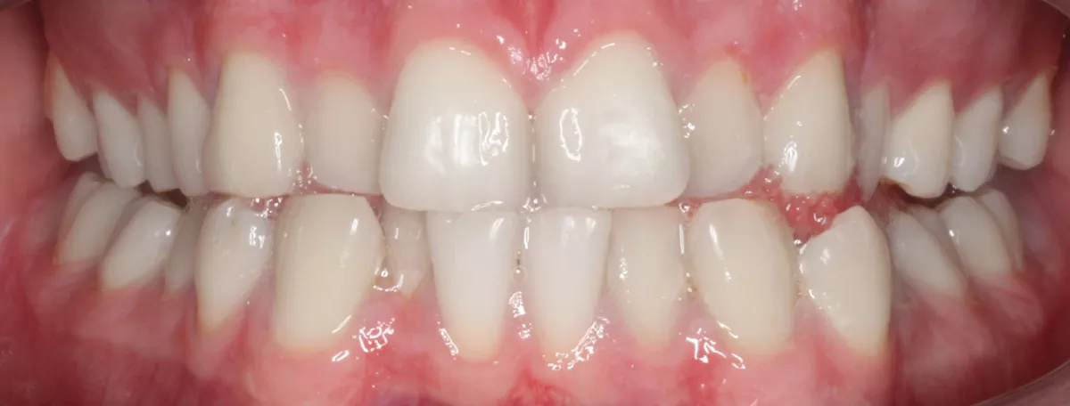
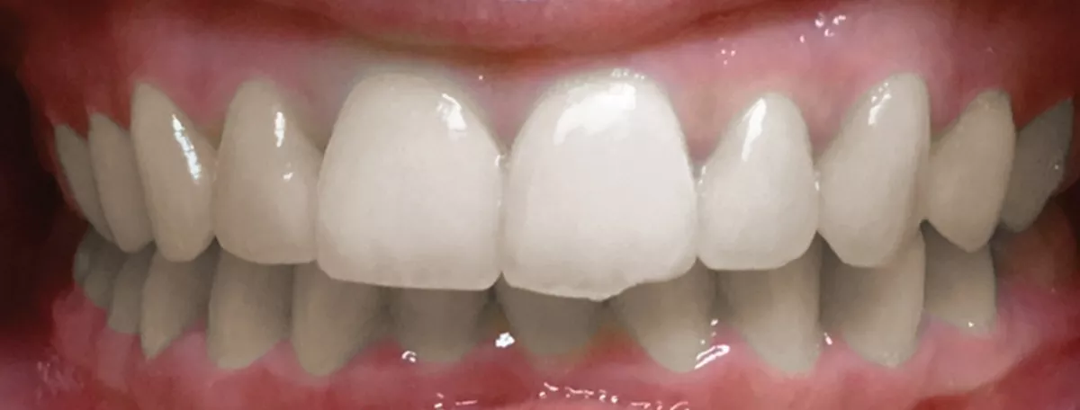
Open Bite

61 Weeks Of Treatment
Type of Malocclusion: Open Bite Case
Treated by: Dr Diego Peydro


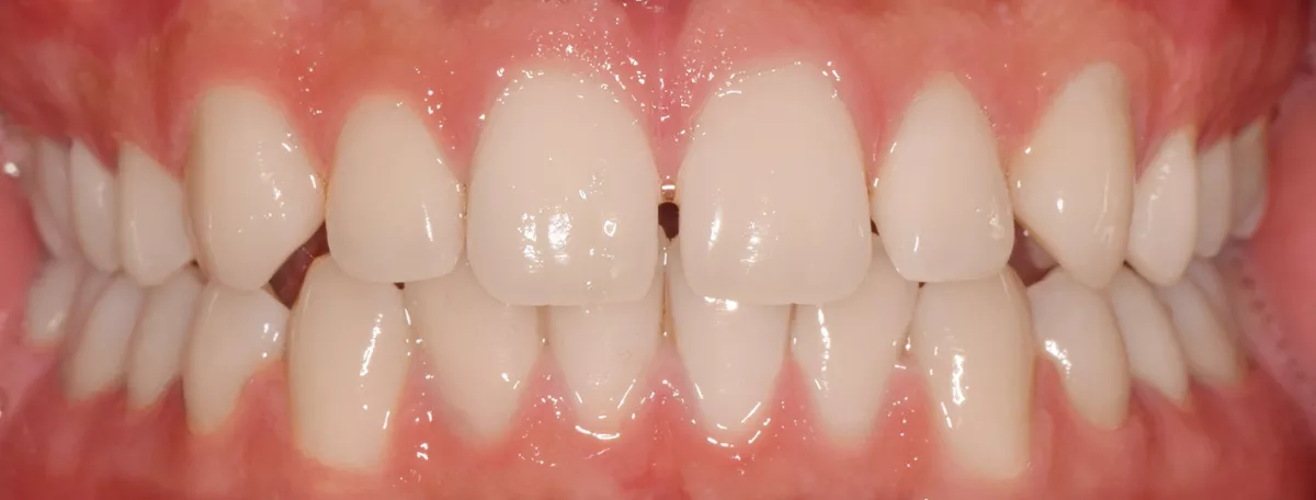
Crossbite

30 Weeks Of Treatment
Type of Malocclusion: Crossbite Case
Treated by: Dr. Vas Srinivasan


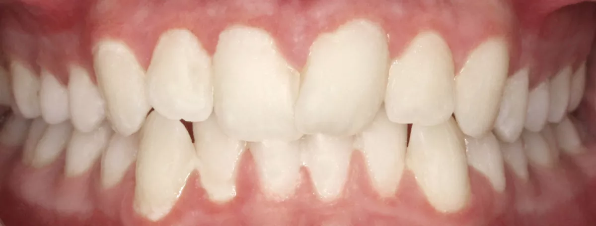
Spacing

39 Weeks Of Treatment
Type of Malocclusion: Spacing Case
Treated by: Dr. Vas Srinivasan


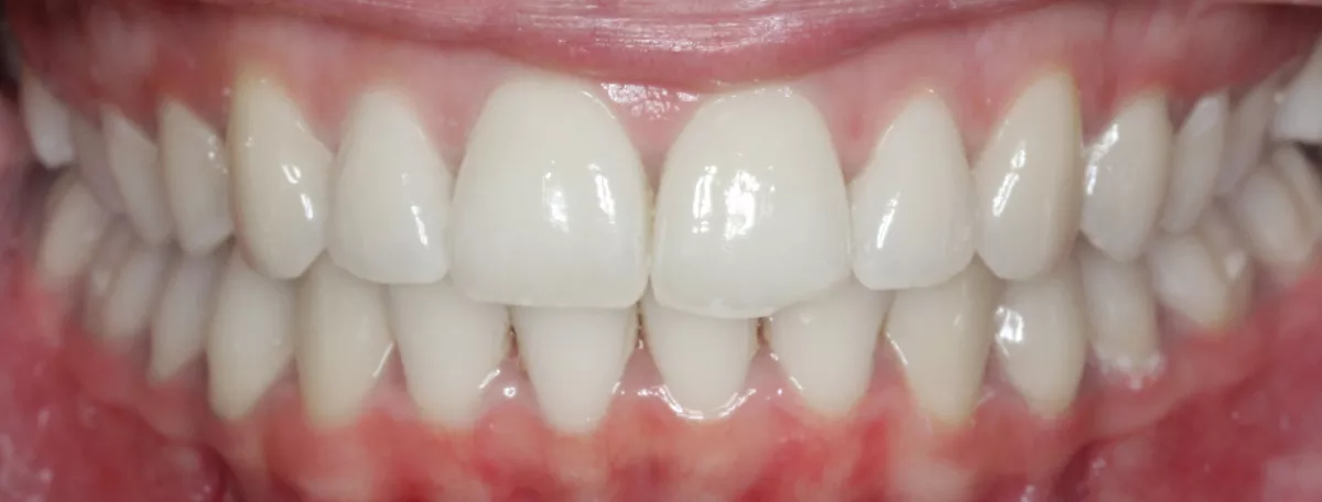
Overbite

36 Weeks Of Treatment
Type of Malocclusion: Excessive Overjet
Case Treated by: Dr. Vas Srinivasan


Crowding

28 Weeks Of Treatment
Type of Malocclusion: Crowding Case
Treated by: Dr. Michael J. Mayhew


Underbite

32 Weeks Of Treatment
Type of Malocclusion: AP Correction Case
Treated by: Dr. Mike DePascale


Take The Leap
We want you to experience the difference before and after using clear aligners for yourself! If you’re ready to take the leap and try Spark Clear Aligners, it’s time to schedule a consultation with one of our providers. With our rapidly growing network of orthodontists, we’re confident you’ll find a Spark provider in your area who meets your needs. Trust in our monitoring progress, integrated software, and innovative technology to discover the Spark Difference.
Get Started Today
We’re proud to have top orthodontists offering Spark Aligners and rapidly growing our network of providers every day. Take the first step with Spark by finding a Spark provider near you.